Our Mission
To provide quality, affordable, community-sensitive health care and other services to the underserved communities of greater Los Angeles, regardless of their ability to pay, by upholding the legacy and teachings of Monseñor Oscar A. Romero. We are driven to educate and empower all community members through community organizing, health education, social justice, and exchange programs in El Salvador.
Our Services
Your Health

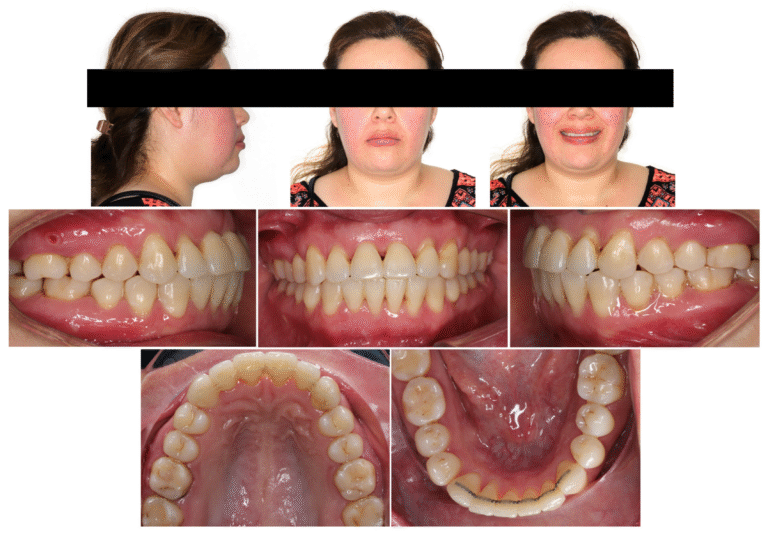
Do Our Teeth Change Over Time?
Our teeth, like the rest of our body, are not immune to the passage of time. As we age,

From the Streets to Safety: How Clínica Romero Gave Zoila Batres a Second Chance at Life
Life hasn’t been easy for 74-year-old Zoila Batres. The Guatemalan native was rejected, abused, and abandoned by her family in

Families Face Economic Hardship This Thanksgiving, and Many Organizations Are Stepping In to Help
Families in Los Angeles have had a tough year. The rising costs of food and utilities continue to increase.
Photo Gallery

CLINICA ROMERO SANTA'S VILLAGE
Van Nuys Clinic (click for more photos)

CLINICA ROMERO SANTA'S VILLAGE
Alvarado Clinic (click for more photos)






